I am just a few days past my one-month post-op date and I just had what should be my last surgery for a while - my right-hand tendon sheath release for De Quervain's Tenosynovitis. A month ago, I had more work done on my wonky ribs. With two new incisions, that makes seven scars on... Continue Reading →
Any Way You Slice it – Thoracic & Hand Surgery, Again
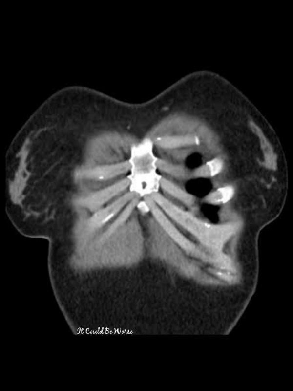
Long story short - Thoracic surgery is confirmed for Wednesday - with my COVID test #1. Then, just shy of 2 weeks later, I'll have my first surgery on my right hand - with my COVID test #2. Any way you slice it, June is really going to be fun for me. ๐ But anyway...... Continue Reading →
March Madness – Social Distancing | IT COULD BE WORSE BLOG
Well, since my last two full blog posts, the world has been through some real March madness. Let's start with my ribs. After my Slipping Rib Syndrome blog was posted in mid-February, I had just gotten a diagnosis of Influenza Type A. Let me tell you that this was one of the worst sicknesses I... Continue Reading →

