I hope you had a chance to catch up with my last post, De Quervain’s Tenosynovitis – Lefty. There has been quite a bit going on with my hands for quite some time.
But, my ribs have also been an issue, with the neurectomy and rib plating procedures. Those are still healing, too, at 11 and 6 months later.

I do hate to admit I think there is another fracture, I have felt movement at the rib location directly above the plate. I am hoping that this is just a temporary sensation and not another fracture that will lead to popping and bone grinding, leaving me with another possible surgery if that is the case.
I blame costochondritis and inflaming of my ribs, I wish that we would have stabilized the rib fracture in the beginning, instead of leaving me to further irritate my ribs for over a year. I repeatedly told the doctor what was wrong and I was right in the end and left with no feeling on the left side because I wasn’t more vocal. To be fair – the doctor did say before the neurectomy that it didn’t matter what I said, he was not messing with that rib. And what do ya know, I had a fractured rib all along, just like I said I did.
I feel that the neurectomy leaving me with no feeling has also left me without full control of that area of my body. I have to make a conscious effort to sit up straight, I have to make sure I don’t lean too forward or there is pressure on the area that is plated. It restricts my movement, so getting used to it has been the most exhausting part of my year.
I have to sleep on my back, or I try to. I want to move in the night and roll over on my sides, but I find it causes me pain to sleep on my left side – the surgery side, and my right side is no different. I have less pain from the right side, but I feel like there is pressure in my ribcage and I return to sleeping on my back. Laying on my stomach, forget about that idea because there is no laying on top of that plated rib.
I was supposed to see my Thoracic surgeon this week about another possible costochondral dislocation/fracture, but she had to reschedule and do emergency surgery that day instead.
When I did get to see Dr. London, I had messaged a day prior to share a podcast called Ribcast that I had come across in a new Facebook group that I had been added to for Slipping Rib Syndrome.
This podcast was amazing, and they had an episode focusing on Slipping Rib Syndrome (SRS). In this podcast, Dr. Hansen of the Chest Wall Injury Society (CWIS) discusses SRS and everything that goes with it. The similarities to my case are astounding and I felt extremely validated having listened to it.
In the podcast he discusses patients seeing doctor after doctor, specialist after specialist, with no relief and often dismissed. I dealt with this.
He discusses misdiagnosis, such as asymmetry in the rib cage – my first doctor told me this, and other issues such as doctors blaming other issues for this skeletal pain. Patients go through unnecessary surgeries, get diagnosed with “wastebasket terms” like Costochondritis- where there is a name but no cause, etc. Patients undergo unnecessary imaging tests, like CT scans, MRIs and x-rays. I have dealt with all of this, too.
In his practice of dealing with SRS, it can be diagnosed in the clinic with a simple hooking maneuver test. I told my doctors this from the beginning. In his experience, imaging doesn’t show a functional separation, and costal cartilage is thin, gray and often not viewed well in imaging tests. Rather, 3D imagery can be beneficial, but the hooking maneuver can be the only needed proof of bone on bone grinding and rib separation, fractures, dislocations, whathaveyou.
Patients can suffer from years of pain, and they often get sent to other clinics, like neurology and rheumatology, for second opinions and options for diagnosis. Dr. Hansen suggests restoring the bony anatomy to heal those irritated intercostal nerves. I have said this from the get-go – fix the bone on bone grinding and my nerves would have never needed to be cut.
And, according to him, it is not as rare as you would think. I just wish my doctor would have listened to me over a year ago, almost two years now.
Now, I have seen Dr. London for my follow up, and I never got to send the podcast to her as the VA messaging system wouldn’t let me forward it to her. When I tried to send it to primary care to forward to the thoracic clinic, they wouldn’t. I think this podcast could be helpful to everyone in the thoracic clinic at the VA, especially after my first doctor and his team didn’t believe me and my SRS.
But, Dr. London listened to me as I explained the podcast to her, and then I got to talk about me.

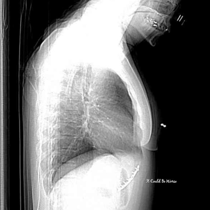
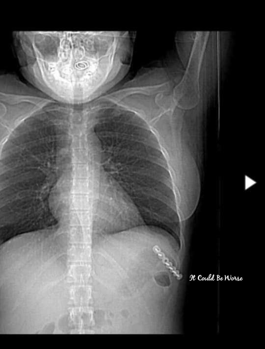
I think there is another fracture above the rib plate that was put in in May. I think the integrity of that costal cartilage has weakened and has created another dislocation, near my xiphoid process. And, I think that my first floating rib is moving, or slipping, up under the bottom portion of the rib plate.
Dr. London said that it was possible, that we would do a few imaging scans, like a CT scan and an ultrasound on my ribs near the rib plate. We discussed removing the rib tip of the slipping rib and the possibility of another rib plating. We discussed cryotherapy surgery to freeze-kill the nerves that were cut during the neurectomy surgery in January. This would stop the residual nerve pains and neuralgia that hits me right at the centerline-deadzone of my numb area.
And, we discussed physical therapy. I am compensating for the rib plated area, so much so that I am leaning a little to my right side, I am driving different, sitting different, sleeping different, doing almost everything different because of the tension and difference that the rib plate has made.
During the appointment, I was so disappointed in my body and having to go back to the thoracic clinic to mention another fracture, that I began to cry out of pure frustration. It was terrible. I didn’t want to have to think about another surgery or problem in my rib cage, that could go years without being fixed – like my previous experiences. But, I do feel like she listens to me, she gets excited to help fix my problems and she makes sure I am okay with the plan before I leave her office.
I scheduled a consultation with the physical therapy clinic, I scheduled the CT scan, I scheduled the ultrasound, and I scheduled my follow up with the thoracic clinic and Dr. London. I am already scheduling into February 2020.
On Wednesday of last week, I had my CT scan, during the late afternoon and scheduled at 5 P.M. I did tell the radiology tech that I had little confidence in the scan being helpful or finding anything, as I had lived with a fracture for over a year and no one ever saw it in imaging. All he had to say was “Wow”.

The positive is that I finally got imaging of the rib plate that had been placed in May for my Slipping Rib Syndrome at ribs 9-10. I was excited just to see what it looked like, to find out the details that I hadn’t been able to get with my online medical file – I hadn’t had imaging since before the procedure.

The negative is that I have been sick. With this really bad cold, I have been coughing, sneezing and aching since Thanksgiving. I have seen my primary care doctor twice now and I have gone to the pharmacy three times. I have only left the house to do this, otherwise, I have been home and trying to rid myself of this sickness.
With all of the violent coughing fits that I have had, I think I have further injured the ribs this past Wednesday. I thought maybe I had pulled a muscle or cracked a rib, so I tried to rest on Thursday and see how I felt on Friday.
On Friday, I woke up coughing and with severe rib pain again, so I called my doctor to be seen. I wanted to try to avoid the emergency room and that chaos, so I scheduled to see her in an hour – I got lucky and she could see me that quickly. I didn’t even get out of pajamas for that appointment, and she ordered up an x-ray for my thoracic area.
She ordered up more medication for me and a steroid gel to rub on my ribs. She would have prescribed me an anti-inflammatory medicine but she didn’t want my Crohn’s disease to get angrier than usual, as they tear my stomach apart and cause a flare.
She told me to start using my steroid inhaler again and try to rest. She didn’t see anything in the x-rays, granted, they never see anything – I know this because I lived with my fracture for a year, with multiple scans and imaging tests that all showed nothing.
And here I sit, with my laptop sitting in my lap. With my heating blanket on. In pain. Trying to heat up my back and ribs. And trying to finish two blogs at once. So, I’ll wrap this one up – I have already hit over 1600 words on both of them.
Let’s hope that this cold leaves me and that my back and ribs start to feel better.
I guess, for me, It Could Be Worse. I’ll try to post the other blog I’m working on ASAP.
————————————————————————–
CURE for IBD: For those of you who are continuing to donate to the Cure for Crohn’s and Colitis, I encourage you to donate towards my team page with CURE for IBD – where 100% of the funds WE raise will be allocated to IBD research for a cure. That’s right, 100%!!
To Donate: www.cureforibd.donordrive.com/campaign/icbwblog
——————————————————————————————–
Previous Posts on It Could Be Worse:
Stelara Self-Injections 3 – 10
I’ve Caught This Migraine Too Late
My Ganglion Cyst – The Tetralogy
Perianal Abscess #2 in My Crohn’s Disease Journey
One Step Forward, Two Steps Back
My Crohn’s Disease Journey To Diagnosis

