I ended 2019 with a double blog post, Colonoscopy #5 and Thoracic Follow-Up.
At the end of November and beginning of December, I had been really sick, and I had been avoiding people and doing anything I could to rid myself of that cold.
I had mentioned previously that I was coughing so much – still very sick – and something in my rib cage has not been right since.
I had and still have left lateral pain, along the 10th rib, at the tip of the rib/costochondral area where the plate meets the ribcage, with pain in my side/back, too.

I had gone to see my primary care doctor, I figured she could at least help me get seen and then I could get in the clinic with my thoracic surgeon.
I was in so much pain that morning, that I couldn’t even get myself to shower, so I went to the doctor wearing my onesie pajamas. Mind you, I’m wearing the same onesie as I write this.

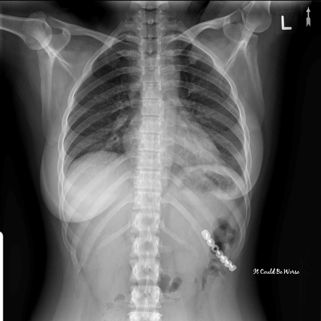
She ordered an x-ray but didn’t see anything wrong. I was given Tylenol with Codeine to help me not cough so much and help me sleep at night, with an NSAID cream to put on my painful ribs. Taking NSAID’s are a no-no for Crohn’s and IBD, so she knew not to prescribe me any and avoid tearing up my stomach. The same with antibiotics, she didn’t want to harm the healthy bacteria in my stomach either.
View X-ray #1

A few evenings later, I couldn’t lie on my back at bedtime due to the pain. I was in tears and contemplating an ER visit at 1 and 2 in the morning. I didn’t end up going then, I did not want them telling me I came in for nothing and wanted to avoid all that chaos for nothing. I would go the next day.

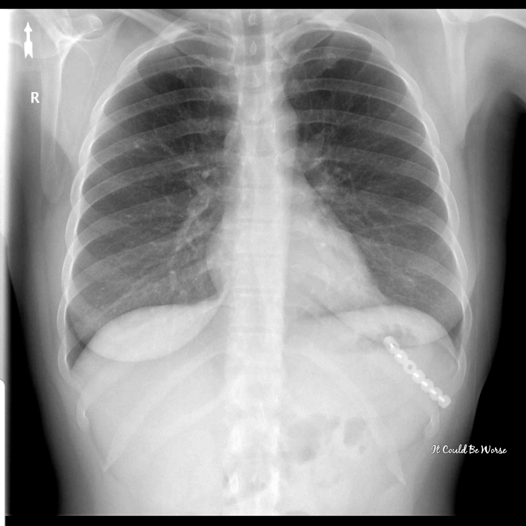
I went to the emergency room on the Monday following my Friday primary care visit. I had x-rays done, again, with nothing seen, again.

I was given muscle relaxers and meds for inflammation with a shot of Toradol in my butt. The Toradol was painful, like a Penicillin shot – those of us in the Navy call those ‘Peanut Butter shots’ because they are thick and they hurt.
View X-ray #2

I went back to the VA on Wednesday, when I knew my thoracic surgeon would be in the cardiothoracic clinic. I went in unscheduled and the case manager for that clinic saw me instead. She told me that they couldn’t do anything about my rib pain until I had the ultrasound done.

I knew this ultrasound was not a dynamic ultrasound and that a basic ultrasound would not be beneficial, but there was nothing they were offering to do to help my pain.
Only after the ultrasound could we make a plan for these ribs – whatever that could be – including options of surgical intervention like plating again or rib-tip resections, and the residual nerve cryoablation as discussed in my previous follow-up.

I had to wait a week for the ultrasound that was scheduled on Christmas Eve. I got to the radiology group and was taken to the ultrasound room, but the techs were unsure if a doctor qualified to read this and do it correctly was there or not – I had emphasized that I had had two thoracic surgeries this year and that I possibly thought the plate was causing pain.
We got a doctor in the room, and he listens to me when I tell him my surgical history and what has gone on with these ribs in the past, and why I was there today. He understood what I had to say, and even questioned this ultrasound happening, but we did it anyway.
We got a few images that were not helpful from the ultrasound and he said he wanted to do a fluoroscopy instead as he walked out of the room. He meant that he wanted to do it today, right now.
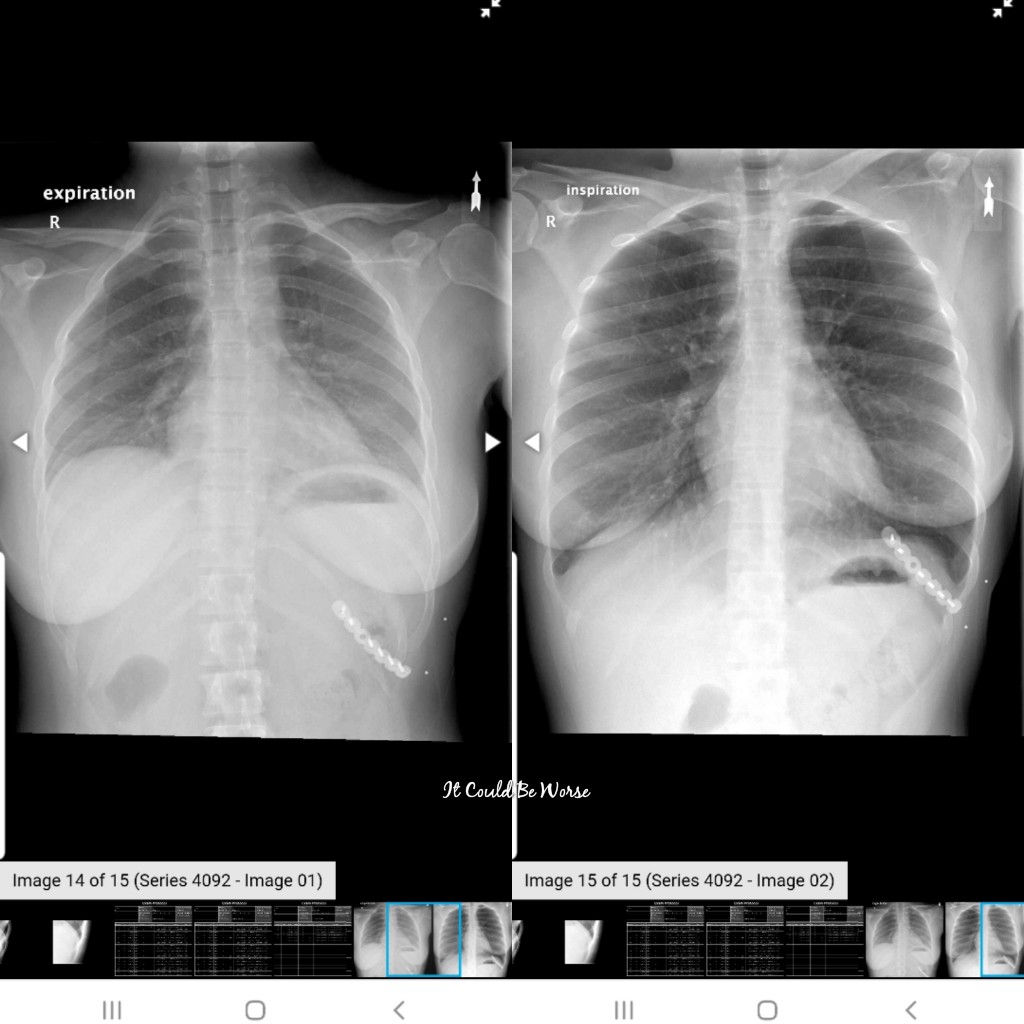
A fluoroscopy, for those of you who don’t know, it is kind of a mix between an x-ray and MRI – to where you can view live images as they happen. I could see the screen and it was me, moving around, looking for a fracture or crack. With the continuous x-ray movement showing, I had to breathe in and out and stretch my body as much as I could without excruciating pain.
So, when we got to the fluoroscopy suite, I got little silver bb markers to place on the areas I had pain. The doctor even noticed that I had placed them on the 10th rib, front and laterally, so what I was saying that was causing pain made sense to him, too.
View X-ray #3 & #4 – You can see the bb’s from the fluoroscopy still on me, too.

We looked and looked for fractures, he thought he possibly saw one but couldn’t confirm it, so yet again I had to leave with no answers. We got a third set of x-rays just to compare, but I had to leave with no information and continue to be in pain.

I have now, in early 2020, finished all of my medications for this sickness and rib pain, and the pain is still there. Over the holiday season, I had to live off of lidocaine patches and my medication, but I paid for the celebration days later.

I have lived in pajamas and my heating blanket, with icy-hot cream and patches to try and help – but nothing really helps. I wake up in pain, I am still slightly sick and coughing – that still hurts – and I am extremely fatigued most days just out of pure pain and exhaustion. Pain really wears you out. For every good day that I try to have, I suffer from pain for a few days later.
I have waited since Christmas Eve to see my thoracic surgeon, with my follow-up appointment scheduled for next week. I will need to discuss the three x-rays, the CT Scan, the ultrasound, and the fluoroscopy imaging – as well as why there is pain but nothing has shown us why? I mean, if it is not a broken rib, then something muscular is wrong.
Something is WRONG. Something is WRONG. Something is WRONG with these ribs and thoracic area. And I know it. I feel the pain. I am living with it every day. It hurts to laugh. It hurts to cough. It hurts to sneeze, to bend, to breathe.
Something has got to give.
And then, there is GI and my Crohn’s disease.
I had to schedule another appointment for my MRI-Enterography procedure that was scheduled and should have happened already, because the original appointment was scheduled at a local hospital – but they don’t offer that procedure! I waited all that time for this scan to be done prior to seeing my GI, and they scheduled me at a location that doesn’t even offer the procedure we needed or requested.

Yes, they offer MRI’s, but someone should have double-checked that they offer Enterography specifically.
I got to the appointment, and it was only then that I found out about this problem of them not offering the requested scan. I had to call Tri-West, while I am sitting there at the hospital for no reason now, and alert them that this needs to be rescheduled at a location that actually offers MRI-Enterography and it needs to be done prior to January 21. This may seem doable but if you know the VA and Tri-West, then you know it can take weeks, even months to be seen.
I was livid. There has not been one instance that I have used Tri-West and not had some sort of problem with the original appointment. Went in for an unrelated MRI a few years ago, the hospital had no information sent to them. I’ve even had things rescheduled without my knowledge. Chaos I tell ya.
So, we had to schedule the MRI-E for January 2020, but before my GI appointment. I still have another 10 days until that appointment when it should have already been done.
Oddly enough, that morning at 7am, I will have my MRI-E, and then I get to go to the VA for my Physical Therapy consultation for the cardiothoracic clinic.
I mentioned before that I am compensating for the rib plate area, so much so that I am leaning a little to my right side, I am driving different, sitting different, sleeping different, doing almost everything different because of the tension and difference that the rib plate has made on my chest wall.
All of these problems and more have got me thinking about 2020. How I assume this year will be no different than my last, with appointments and follow-ups, scans and medications, but no real relief or positivity come the new year, medically and health-wise. Like this year, like last year, and like the year before that.
I don’t do resolutions. Most of my problems are medical, health problems often not in my control, and often they are often unpredictable. So what would I or could I commit to for the new year? With 2020, I thought Visions.
Moreso in a revelation or notion of thought kind of way, my 2020 would and has begun to consist of thinking more about my body, and how I can help. I need to treat myself better. Do better. Be better.
This last year, I kind of began this journey by cutting back on some of the medications prescribed to me. Nothing crazy, and I have mentioned these changes to the prescribing doctors as I see them, but I was and still am taking a considerable amount of medication.
Some, for reasons and problems I know of, and what is causing them. But others, like my Gabapentin. I began taking it a few years ago due to nerve pains in my right breast. I was overprescribed and had to figure out my own dosage for my body, but I have been taking it for years for this pain, but what is causing the pain? I don’t know.
Stelara – 90MG/1ML INJ / 8 Weeks – Crohn’s Disease
Gabapentin – 400MG / 12 Hours – Nerve Pain in R Breast
Nortriptyline – 10MG x 6 / Evening – Insomnia, Migraines & Fibromyalgia
Acyclovir – 400MG x 2 – Cold Sores
Lexapro – 20MG / Day – Mood Stabilizer
Vitamins B12 & D, Multivitamin – 1 Tablet Each – Deficiencies
Mirtazapine – 30MG – Insomnia
Melatonin – 3MG x 3 / Evening – Insomnia
Prochlorperazine – 5MG x 1-2 / 8 Hours – Anti-nausea
Imitrex – 25MG as needed – Chronic Migraines
This meant that daily, I could be taking up to and beyond 21 pills a day. Sometimes more, sometimes less. The cover photo for this blog, it only shows the new medications I have been put on since being sick.

But still. This was out of hand. I know that the medications are necessary, but I also know that I do not want a dependency to medications like Gabapentin. So, I’ve cut back on those.
And with my body being so exhausted lately from pain, I have found myself going to bed early and sleeping for up to 12 hours. I wake up, still tired, but at least I wasn’t up until the early hours of the morning with insomnia. So, instead of upping my Nortriptyline like my neurologist and I have been doing, I have decreased, a positive for me. I have not seen more migraines due to it, so that is also a positive.
I try to take my anti-nausea throughout the day, with my other medications in the morning, but I am trying to keep track of what is going into my body and how much of it.
As well as looking into my medication intake, I am trying to be better to my stomach. I have been pretty cruel to it over the holiday season, with lots of spicy foods and fried goodies, alcohol and foods that I do not eat often. My stomach does not like this, and I have paid for it.
I know I am supposed to be better about what I eat, and I usually am, but it’s the holidays and there is no way I am not tearing apart some buffalo chicken dip. I have had many nights of splurging and eating what everyone else eats. I have days where I am guilty of giving in to temptation, too, ya know. And I pay for it later, too.
For the most part, for the past couple of years, my diet has consisted of cutting out things that I know disagree with my body and Crohn’s disease. And while food does not cause Crohn’s disease, certain foods can exacerbate symptoms, and things like spicy foods and tomato-based items, acidic fruits and most vegetables are a no-go for me. Fried foods, nope.
For Crohn’s patients, not each of us are the same. Some can eat lettuce, others can’t. Some it’s bread, or dairy, or other items that can lead to flaring and bowel pain. You live, and you learn, and you cut out certain foods as you learn.
I have found things like milk and cream have become bothersome to my stomach, among other things. So, I eat a lot of baked or grilled chicken, rice or mashed potatoes, and things that are easy on me. But, we each have our vices and days where we crave something bad – and that’s okay, I just cannot continue to make it a habit.
And my poor hands. I have neglected my right hand, and I have been bad about wearing my brace at night. Often, my hand starts to hurt in the evenings or with use and I know I need to take better care of them. I still have some pain in my left hand, residual nerve damage and pinches of pain here and there with overuse, but the De Quervain’s surgery was helpful. I want to avoid inflaming the tendons on my right hand and avoid having surgery on that hand as long as we can. So, I need to do better about wearing my braces even when I don’t want to.

And lastly, my eyes and teeth.
I have been VERY neglectful to my eyes by not wearing my glasses when I am on the computer, my phone, or watching tv. I have them, I just don’t wear them as much as I should or when I should. I am farsighted, so I need to make sure to wear them when I am reading or on the computer, phone, etc.
I know my vision gets worse at night, sometimes it is blurry and I just ignore it. I also know it can lead to migraines. I usually wake up with sore and dry eyes that hurt to open and rub, and I drown them with my eye drops from the optometrist.
I need to do better and wear my glasses, so to motivate myself, I ordered a new pair that should arrive in the next week or so – I am a little over my “Beetlejuice” glasses. And below, you can see both the old and the new pair!
And my teeth, if you remember, I grind them at night and I was given a green mouth guard to stop grinding at night. I was good about wearing it for the first few weeks, but then I got distracted with rib pain, hand surgery, getting sick, the works, and I stopped wearing it, forgetting it most nights. I know this, too, can help with migraines, and I’m willing to do anything and everything to prevent those.
But, since the beginning of the year, I have used it every night. Baby steps.
Peep my photo from the day I picked my mouth guard up from the dentist’s office. Terrible photo but I was stoked that I could get it in green!

Visions.
I need to cut back on medications.
I need to eat better and have fewer cheat days.
I need to wear my hand braces.
I need to wear my glasses.
I need to wear my mouth guard at night.
And, I need to get these ribs in check and figure out a plan with my thoracic surgeon, I need to get my Crohn’s disease and GI plan sorted out about my Stelara, and, I need to stop getting new problems so I can deal with my problems at hand.
FYI – two new issues for the year already – my left foot has a few toes that are forever asleep these days and my right knee has been acting up, again. It had happened a few days before vacation in 2018 but went away, now it is beginning to hurt daily. Another day, another problem.
But, all in all, if this is the list of worries that I have for 2020, I know It Could Be Worse. Happy New Year to you all. Well, to most of you.

————————————————————————–
CURE for IBD: For those of you who are continuing to donate to the Cure for Crohn’s and Colitis, I encourage you to donate towards my team page with CURE for IBD – where 100% of the funds WE raise will be allocated to IBD research for a cure. That’s right, 100%!!
To Donate: www.cureforibd.donordrive.com/campaign/icbwblog
——————————————————————————————–
Previous Posts on It Could Be Worse:
Colonoscopy #5 & Crohn’s Disease Updates
Thoracic Follow-Up & Slipping Rib Syndrome
Stelara Self-Injections 3 – 10
I’ve Caught This Migraine Too Late
My Ganglion Cyst – The Tetralogy
Perianal Abscess #2 in My Crohn’s Disease Journey
One Step Forward, Two Steps Back
My Crohn’s Disease Journey To Diagnosis
Stelara Self-Injection #2 & Rib Pain
Crohn’s Disease Essentials and Emergency Kits

