Long story short – Thoracic surgery is confirmed for Wednesday – with my COVID test #1.
Then, just shy of 2 weeks later, I’ll have my first surgery on my right hand – with my COVID test #2.
Any way you slice it, June is really going to be fun for me. 😂
But anyway…
Ribs

I know it seems like a never-ending journey with these wonky ribs of mine and it is defeating to constantly have something going on with them.
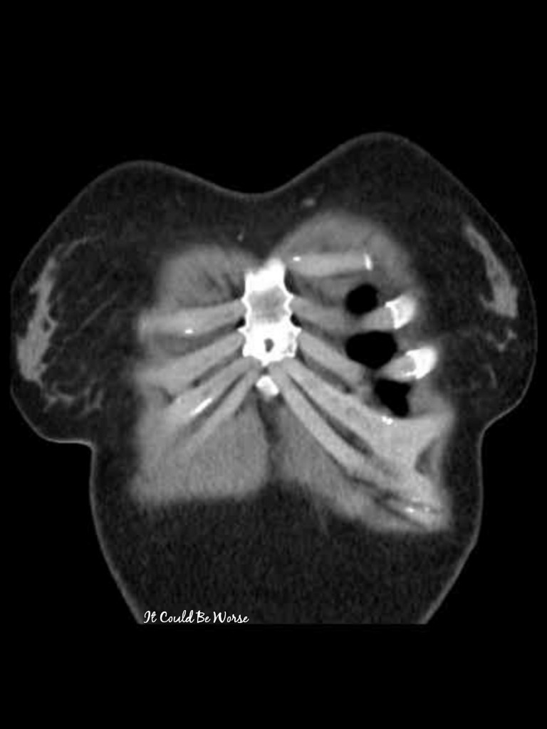
I know that I had surgery this past January to remove the titanium plate and we resected the tip of my slipping/dislocated 10th rib. My surgeon sutured my 10th to my 9th and we hoped for the best. Mind you, this was my third thoracic surgery trying to correct my slipping rib and rib pain.

Now, 4 months later, I am still having problems with these ribs. In my mind, I figured it was the 11th rib starting to slip up and under my 10th – as my body has been shifting and settling into its new ‘normal’ position post-surgery.
Now, my incisions have been irritated and that was a focus for my surgeon at first. I was offered an epidural through pain management, but that is not a permanent fix, only temporary. As the pain has continued to get worse and I can feel ribs sliding behind each other, I wanted a second opinion.
I know I’ve mentioned Dr Hansen more than a few times, as he is the leading surgeon helping with slipping rib cases. In private Facebook groups, he is praised for his work with slipping rib patients and his publications on slipping rib syndrome. From what I see in daily posts, people come from all over the country for his expertise. Since his wife and he help patients in these groups, I reached out to them in West Virginia.
I sent the longest message about my rib journey to his wife, who is very active in the slipping rib groups, and she immediately replied. I was shocked that I got a reply so quickly. And then, in less than 2 hours of me contacting her, Dr Hansen and his wife were giving me a call to help me. I have to say this is one of the greatest experiences I have ever had with a physician – I felt validated, important, and my pain and suffering were understood. I cannot say enough good things.
In less than 15 minutes on the phone, I was ready to drive to West Virginia for another surgery with him, all I needed was a copy of my latest CT scan and my operative report from my last surgery.
I contacted my ‘normal’ surgeon and gave her the rundown of Dr Hansen’s and my conversation. To my surprise, she was more than happy to speak to Dr Hansen and find out how to help these ribs. She and Dr Hansen spoke and my surgeon said that it was a very good conversation and that she learned a lot.
So, with my current surgeon feeling confident and understanding Dr Hansen’s procedures, we understand that the sutures used last time to connect my 10th rib to the above ribs, it may be sawing through my rib and letting that rib slip under once again. I may have moved or shifted wrong, it could have broken through, or it could be my 11th rib slipping.

Either way, this means another surgery for me. If it is the sutures that have caused the problem, my surgeon has ordered the specific ones used by Dr Hansen and she will be performing that surgery this week. I was lucky that she could get me in so soon or else she was going to put in the request for West Virginia so I wouldn’t be in pain much longer.
I can only tell by touch – but I think my 10th has worked its way loose with the sutures cutting through the bone and cartilage, and allowing it to slip, with the 11th now rubbing against it.
Even if the sutures have not cut through my ribs already, they still need to be replaced. If it is my 11th rib, we will fix that problem once my chest wall is opened again. We have no idea what is exactly wrong until we get inside my body. Imaging tests don’t like to show that rib cartilage in the front of your body, so we end up going in blind and finding out the problem in surgery.
The new incision will go through the scar from the previous two surgeries, considering it is the same area causing problems once again.

This will mean another few weeks of light-limited-duty and I can’t pick up my baby Bilbo until I fully heal. This means another risk of infections, open wounds, and chest pain that you can’t even imagine.
The past 3 surgeries were tough on me.
Laughing will be hard on me. Coughing will be brutal. Getting up and laying down will be a whole ordeal. Putting on pants or picking things up will be very unpleasant. I am dreading the no-fun healing process but I have to remain hopeful that this will be the last time.
Usually, people ask me how I have managed to mess up my ribs so severely and I usually just tell them that I’m too funny – that I crack myself up and that’s how I broke a rib. But really, coughing or laughing or even bending over the wrong way can cause one of those front ribs to dislocate and slip behind the others.

This past week or so, I have been trying to be mobile and getting as much done as I can, while I still can, and I am paying the price for it every evening. My poor ribs are in pain no matter what I do but I try to keep a smile on through it. I just keep telling myself that this should be the last surgery and I will be better.
I will not be 100% but I will be better than I am now.
I am still so very grateful that I got my surgeon in touch with Dr Hansen and we have a plan.
Unknown to me until this past week though – I get COVID testing. Yup, those nice brain-tickling tests that go up both noses, I get to have that done the morning of my surgery. Usually, they require this 96 hours prior, but the clinic was behind in scheduling that – and didn’t inform me of it – so we will do it the morning of.
Now, I just gotta take it easy for 8+ weeks (or more) and heal.
This may be difficult, as I have been scheduled for a second surgery just two-weeks post-op for cardiothoracic – for my hand.
Hands

I know I have mentioned my hands countless times. I have had 4 surgeries on my left hand due to ganglion cysts and a tendon sheath release.
Now, my left hand is much better than it was, even though I have a ganglion cyst that is beginning to swell again, but I can’t focus on that right now.
My right hand, it has always been put on the back burner because it is my dominant hand and those cysts kept causing trouble. My hand surgeon specialist has not wanted to perform surgery on both hands at the same time and that was okay by me – I need at least one to function.

I have been in hand braces since around 2016, first on my left, then my right, then both. I have been wearing them on and off for years, with my right hand not as bad as my left, and now my right has now taken precedence.
This year has been difficult on my body.
My right hand has decided to flare up this year, causing severe pain on the inner side of my wrist where my thumb meets my arm, and I have been in a brace again since January.
With the coronavirus going on, I got to live with the brace and pain for even longer, but things are finally starting to open up – including the operating room.
I have had virtual meetings with my hand surgeon specialist and we have waited until we got the green light to go ahead with surgery – and we got it.
Now, they did not know I am having surgery this week for cardiothoracic, so we scheduled my hand surgery for mid-June.
And guess what? I’ll have a second COVID screening a few days before this surgery. So, I’ll get my brain tickled at least 4 times this month and I feel bad for the nurses who have to perform these tests on me, I know I am going to fight them and I can’t even help it.
I expect to be down for a little while after both of these surgeries. I will post an update on the day of my surgery for my ribs – or at least the day after, as I’m usually tired.
I will also post another update prior to my 2nd June surgery, with info on these ribs and my healing.
As for everything else?
I have gotten really comfortable sending photos of my stool to my GI doctor. She’s been keeping tabs and we are watching my Crohn’s disease. I’ve had more contact with her in this apocalypse and I think we are getting my IBD under control.
I have thrown myself into the Gali app – I’ve mentioned it before – but I cannot express how helpful it has already been for me – and I’ve only been on it about a week. Feel free to send me questions about it and I will try to get a blog post specific to Gali posted, too.
I have also stood beside my black brothers and sisters this past week and marched to peacefully protest the injustices that POC see. I think about all of my black brothers and sisters who stood beside me, without question, in the Navy. I think about the people I went to school with, I think about the people that have been major influences in my life. It brings me to tears to think that something this awful could happen to one of them, based on their color.

I have tried to do my part as much as I can, in pain and even in the rain – and I’ll do what I can as I heal. I thank Lexington and Georgetown for protesting so peacefully and allowing me to be a part of something so beautiful. I will try to be back out there marching if necessary, after my post-surgery check-in.
And, to prepare, I’ve just been trying to see people, live a little, and get all my laughing out of me prior to surgery because laughing, even just a little, it HURTS.
This past week of surgery preparations has been extremely eventful but I am so grateful for the people in my life. You know who you are.
Until next time, for me, It Could Be Worse.

Thank you for reading, and for keeping up with My Crohn’s Journey. Please “Like” It Could Be Worse Blog on Facebook!
And as always, any information you’d like to offer up about Stelara or any of my current struggles and/or issues, I have open ears and I’ll happily take any tips you have to offer!
CURE for IBD: For those of you who are continuing to donate to the Cure for Crohn’s and Colitis, I encourage you to donate towards my team page with CURE for IBD – where 100% of the funds WE raise will be allocated to IBD research for a cure. That’s right, 100%!!
To Donate: www.cureforibd.donordrive.com/campaign/icbwblog
Previous Posts on It Could Be Worse:

