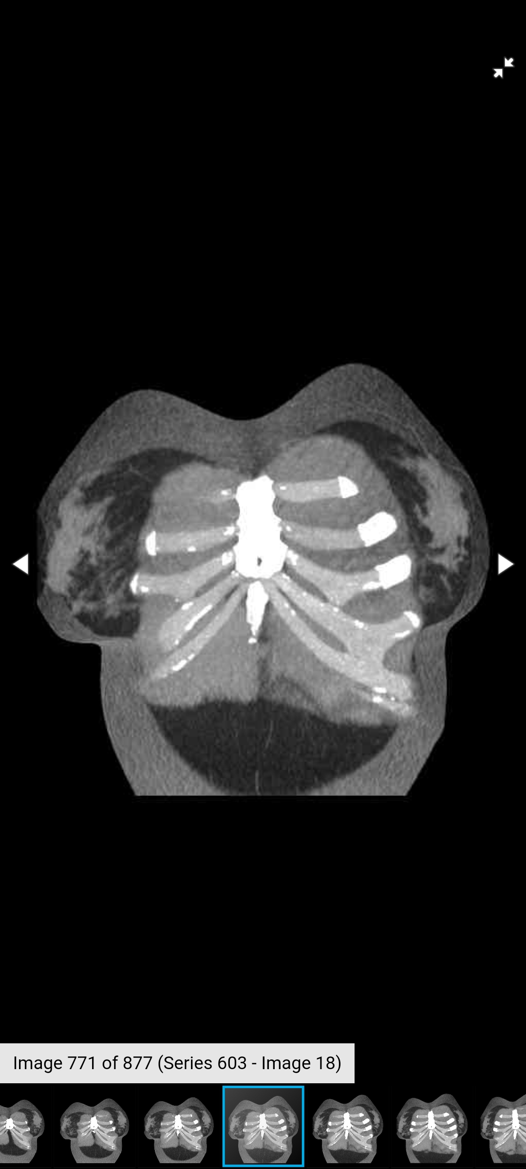
Had to get another CT scan of my ribs for Dr. H. The cover photo for this post is an older CT scan – but you get the idea.
I’m about 8 months post-op from my last Slipping Rib Syndrome surgery and I’ve already had my follow-up with Dr. Hansen a few weeks ago.
We think that my lower ribs, 8/9/10 on my left side – are doing okay after surgery with the bioabsorbable plate and cartilage spacers.
Now, that being said, we think there has been pressure pulling on the higher ribs and that I probably have a bridging cartilage fracture somewhere around my 5/6/7 rib area – last photo for reference. I think it happened when the titanium plate I used to have shifted and I needed it removed, but who knows.

I feel that bone-on-bone grinding that I am all too familiar with and it is almost constantly happening. Like, when I breathe, sit, walk, drive, cough, laugh, dance, etc., I’ve just been dealing with it while knowing I just had my 7th rib surgery (and an ACDF neck surgery to boot!) – and I don’t want to need another.

But, with my CT scan and Dr. Hansen’s expertise, he will read my imaging reports and we will go from there – but we are about 95% sure he is going to have to go back inside and shave that bridging cartilage down to where they don’t rub against one another. I may get my right side done while he’s at it since it has been getting sore on me, too. We shall see.
I’m usually right about what’s wrong with these ribs.
And, I got to see dermatology today, too, with a full skin inspection since my skin wonks out when I’m due for my Stelara and my Crohn’s is going wild.
Also, You can find out more about Slipping Rib Syndrome from Slippingribsyndrome.org

