If you guys remember, I was in a car accident on February 22nd. I had been worried about that happening since I had my ACDF surgery on my spine last August - it has been my biggest fear, to be in a car accident, rear-ended, etc. Now, it has been almost 3 weeks since the... Continue Reading →
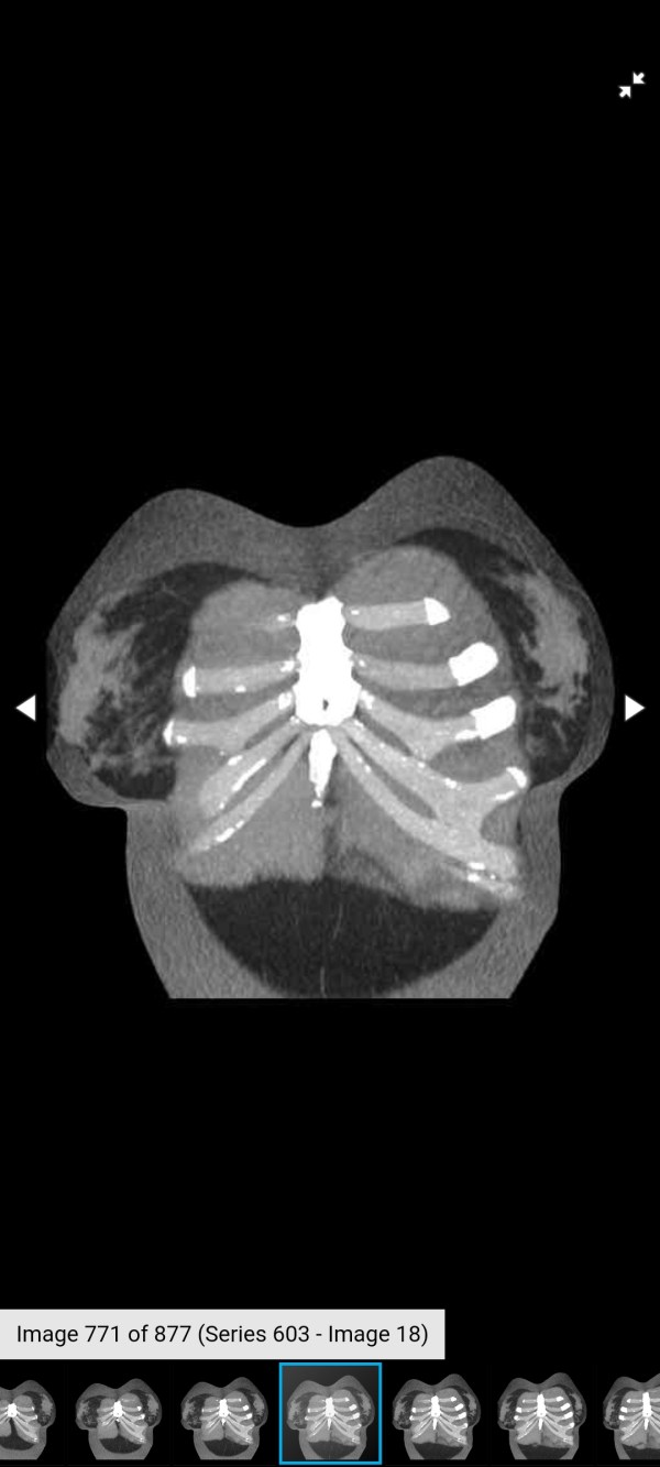
Slipping Rib Syndrome & Bridging Cartilage Fracture
Had to get another CT scan of my ribs for Dr. H. The cover photo for this post is an older CT scan - but you get the idea. I'm about 8 months post-op from my last Slipping Rib Syndrome surgery and I've already had my follow-up with Dr. Hansen a few weeks ago. We... Continue Reading →
Slipping Rib Syndrome – 7 Weeks Post-Op
7 Weeks Post-Op and my side is still trying to heal. My incision had been closed after the hematoma draining and I thought it was good to go until this week when my body rejected one of the stitches. I know my body has previously rejected stitches with numerous surgeries and 7 weeks post-op seems... Continue Reading →
Slipping Rib Syndrome – 7th Procedure
Warning - Post-Op Images Shared! So, my latest surgery was on May 11, 2022. See my previous post about being 3 months post-op and needing another surgery - Slipping Rib Syndrome โ 3 Months Post-Op and Scheduled for Another Surgery. This procedure was my 7th thoracic surgery and my 3rd with Dr. Hansen. All went... Continue Reading →
Slipping Rib Syndrome – 3 Months Post-Op and Scheduled for Another Surgery
I am almost at 14 weeks post-op and I figured an update was due before my London debut! ๐๐ฌ๐ง I'm still hurting with these damn wonky ribs. In my last surgery this past December, Dr. Hansen sutured my 9th rib to my 8th rib, and my 10th to my 9th, with each rib moved forward, slightly... Continue Reading →
Slipping Rib Syndrome – One Month Post-Op
Today marks 10 weeks post-op from my Slipping Rib Syndrome surgery and at 1 month post-op I had a virtual follow-up with the always amazing Dr. Hansen. I will probably need another follow-up before my next scheduled appointment in June. We discussed my back pain and on-and-off nausea since surgery. We also talked about the... Continue Reading →

